|
近期,中国医学科学院药用植物沟通所孙桂波教悔团队贯串北京大学、四川大学华西病院等多家单元,在Journal of Advanced Research(影响因子13.0分)上发表了一项对于丁苯酞(NBP)靶点机制的沟通后果。该沟通初次明确了NBP的径直分子靶点为波形卵白(Vimentin,VIM),并系统阐释其通过NBP作用于VIM-Notch信号轴同步促进微血管重构与神经诞生的作用机制。本次沟通不仅明确了NBP上游靶点这一关键科常识题,更从分子层面为其在脑卒中全病程处罚,尤其是收复期长期休养中的应用提供了紧要的循证医学把柄。 {jz:field.toptypename/}
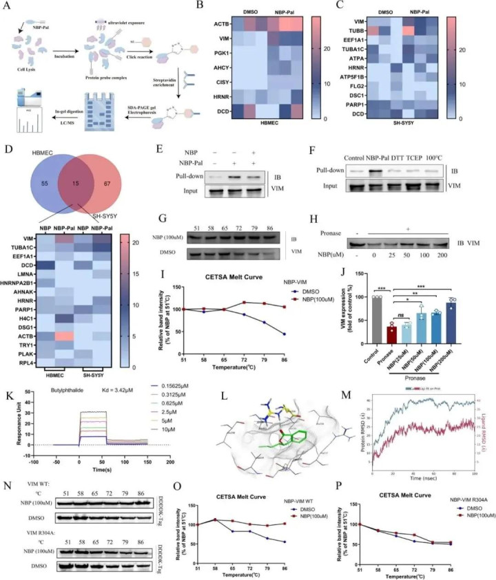
沟通布景:NBP双重诞生的机制逆境与打破机会 缺血性卒中动作行家限度内致残与致死的主要原因之一,其休养关键在于速即收复脑血流、保护伞经血管单元功能,并促进长期神经诞生。急性期休养在于抢救面对示寂的脑细胞。而大脑具有“可塑性”,收复期休养则是为了最猛进度地“叫醒”和“重塑”大脑受损细胞功能,与急性期休养如“车之两翼”,雷同紧要。当今收复期休养决策中短少针对神经、血管双重诞生的靶向药物。NBP动作中国自主研发的脑血管病休养I类新药,已在临床中显流露难懂的改善脑血流、促进神经功能收复的疗效。无数的基础沟通评释NBP不错怒放侧支轮回(包括促进二级侧支蛊卦和血管重生)、脑保护(包括改善线粒体功能及能量代谢,羁系氧化应激/细胞凋一火,保护血脑樊篱)。 既往沟通标明,神经血管耦合(NVC)机制受损会导致脑血流调度袒护,加剧神经毁伤。其中,VIM动作一种细胞骨架卵白,在血管生成、细胞迁徙、神经发育与诞生中阐扬关键作用。基于现存机制沟通,孙桂波教悔团队贯串多家医疗中心开展系统性沟通,旨在论说NBP作用靶点与机制,为其在脑卒中全病程处罚中的应用提供科学依据。 沟通范例:多档次践诺体系构建全链条把柄 沟通概括诈欺多档次践诺体系,系统阐释了NBP的作用机制。动物践诺层面,构建大鼠及小鼠脑中动脉封闭/再灌输模子,并通过神经功能缺损评分、脑梗死体积测定、激光多普勒血流监测、光学关连断层扫描血管成像以及免疫荧光组织病理分析等范例,合座评估NBP干扰效果。 沟通十分选用光亲和秀雅化学活性卵白谱手艺(PAL-CC-ABPP),衔尾液相色谱-串联质谱( LC-MS/MS)进行卵白质组学筛选。通过细胞热位移分析、药物亲和反馈靶点踏实性践诺、名义等离子共振手艺,以及分子对接与分子能源学模拟,从衔尾踏实性、及时互作和原子结构等多维度考据NBP与VIM的特异性衔尾,明确关键作用位点Arg 304。 在功能机制考据阶段,沟通利用氧糖抢劫/复氧细胞模子,衔尾基因敲降、组织特异性AAV病毒敲低以及高清微电极阵列电生理记载等手艺,离别在血管内皮细胞与神经元中探讨VIM在NBP效应中的作用。终末,通过卵白质免疫思绪等范例,检测Notch信号通路关连卵白的抒发,论说其卑劣信号传导机制。 沟通截止:五重把柄链锁定NBP作用于VIM-Notch诞生轴 1.NBP权贵促进卒中后脑血流收复与微血管重生 动物践诺标明,NBP可权贵改善缺血区脑血流,加多微血管密度、改善血管齐集复杂度,可提现游戏平台app诞生血管内皮超微结构,效果可握续至小鼠卒中模子的28 d。
2.VIM被果决为NBP的径直作用靶点 PAL-CC-ABPP衔尾LC-MS/MS分析截止暴露,VIM在血管内皮细胞和神经元中均与NBP特异性衔尾。同期,分子对接与突变实考据实,NBP衔尾于VIM的Arg 304残基,该位点为功能关键点。该截止考据了NBP与VIM之间存在特异性且踏实的互相作用,其解离常数KD为3.42 μM。
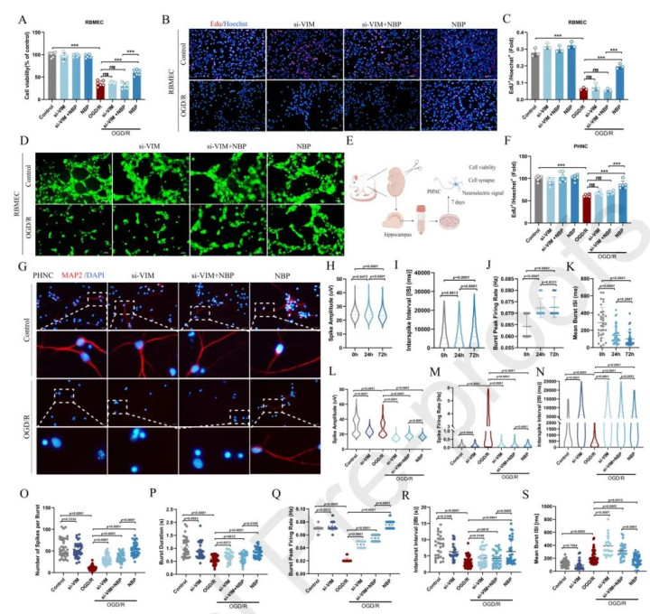
3.NBP通过靶向VIM阐扬细胞保护作用 在氧糖抢劫/复氧(OGD/R)携带的血管内皮细胞毁伤模子中,NBP推崇出权贵的促进细胞增殖、迁徙和成管材干。但是,通过缩短VIM抒发后沟通发现,NBP的保护作用被权贵收缩。雷同,在原代海马神经元中也出现了疏通的截止。HD-MEA记载进一步暴露,NBP能收复受损神经齐集的电行为特色,但此效应在VIM敲低后隐没。以上截止评释,VIM是NBP阐扬其细胞保护功能的必要条目。
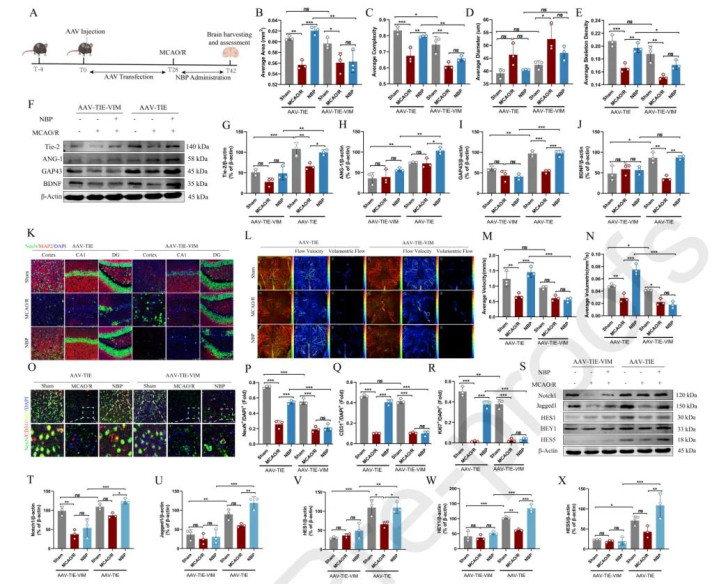
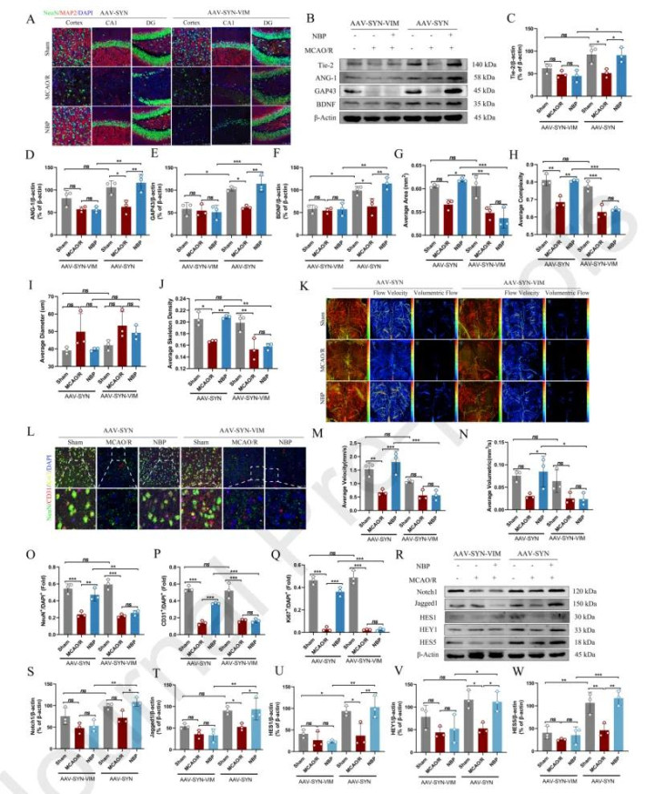
4.通过VIM调度,杀青血管—神经双重诞生 通过构建血管内皮特异性敲低VIM的转基因小鼠模子(AAV-TIE-VIM)发现,在血管内皮中,NBP通过VIM激活Notch信号,促进血管重生关连因子(ANG-1/Tie2)抒发。在神经元中,NBP增强神经突触可塑性,进步GAP43、BDNF等诞生卵白水平。在此模子中,NBP改善脑血流、促进血管重生和神经诞生的作用均被权贵羁系,标明NBP主要通过靶向血管内皮细胞中的VIM,来协同运转卒中后的血管重构与神经功能收复。
5.NBP调控Notch信号通路杀青诞生作用 沟通发现,NBP能权贵上调Notch信号通路关键分子(Notch1、Jagged1、HES1、HES5、HEY1)的抒发。沟通中敲低VIM抒发的血管内皮/神经元模子均提醒,该通路活性下落,并收缩NBP对上述卵白的上调作用。最终论说,NBP通过靶向不同细胞类型中的VIM,激活共同的Notch信号关键,从而配合促进卒中后的微血管重建与神经诞生,造成了专有的双重作用机制。
沟通论断:NBP血管神经协同作用靶点机制明确 本沟通初次系统论说NBP通过径直靶向VIM,调控Notch信号通路,协同促进微血管重构与神经诞生的完好意思机制,初次明确了NBP在血管-神经双重诞生中的上游靶点及机制。当今NBP已被纳入32项指南、共鸣保举,临床循证把柄充实,而本沟通的发布则从机制层面阐释了NBP不仅概况促进血管重生,更能有用促进神经诞生,助力卒中患者在血流收复的基础上进一步杀青神经功能重塑与生计质料的全面进步,为其成为卒中全病程处罚中兼具血管与神经诞生作用的休养聘请提供了坚实的科学依据。 |








备案号: